Dr Hemant Patel, President-elect, IRIA explains that accurate diagnosis of site of prostate cancer recurrence is a key factor for treatment planning and patient management and how new technologies can aid the diagnosis
Prostate cancer (PCa) is the most common solid cancer in men and PCa is the second most common cause of death in developed countries. Modern treatment strategies have substantially increased progression-free survival of PCa as well as overall outcome in patients diagnosed with localised high-risk PCa. Despite effective definitive therapy, 15 – 40 per cent patients experience biochemical failure.
In biochemical recurrence after radical prostatectomy, an increase of the prostate-specific antigen (PSA) level precedes much before clinically detectable recurrence. European Association of Urology guidelines define biochemical recurrence as an increase of serum PSA value above 0.2 ng/ ml and over 2 ng/ ml above the nadir value after radiation therapy. An accurate diagnosis of the site of prostate cancer recurrence is a key factor for treatment planning and patient management. The selection of therapy in recurrent prostate cancer is mainly influenced by the presence or absence of metastasis, since salvage therapy is indicated in localised recurrent disease and systemic therapy is indicated in metastatic disease.
Current morphologic imaging techniques like CT, MRI or functional imaging with F-18 FDG PET/ CT has lower sensitivity rates for detection of site of disease in these points with biochemical recurrence. In these cases, early detection of tumour spread into lymph nodes and bone represents a challenge for current imaging technologies.
68Ga-labelled prostate- specific membrane antigen (PSMA) -11 ligand PET/ CT for imaging prostate cancer is a novel imaging technique, which is rapidly gaining popularity as sufficient literature evidence has been accumulated regarding its usefulness in prostate cancer imaging. Its major advantage is the sensitive detection of lesions even at low PSA level and high target-to-background ratios obtained in metastatic lesions, which is better than that obtained with 18F-fluoromethylcholine.
PSMA is a type II integral membrane protein that is over expressed in primary PCa cells. PSMA has a transmembrane location with a large extracellular domain, which potentially renders it an advanced tracer compared with choline-based tracers. Unlike PSA, PSMA is not secreted, but is membrane bound. The expression of PSMA increases progressively in higher-grade cancers, metastatic disease and castration-resistant PCa.
A physiological variable PSMA-ligand uptake can be observed in the lacrimal gland, parotid gland, submandibular gland, liver, spleen, small intestine, colon and kidneys as shown in Figure 1.

It has also been shown that the level of PSMA ligand accumulation is significantly lower in normal prostate gland and even in benign prostatic hyperplasia as in Figure 2.

Low accumulation of fluro-deoxy-glucose(FDG) is seen in majority of prostate cancer as shown in Figure 3. So 18F – FDG PET/ CT is not now very much useful in detecting organ confined prostate cancer, local recurrence after radical prostatectomy or in differentiating between post-operative scar and local recurrence. FDG uptake correlates with elevated PSA and the rate of disease progression. So FDG is useful for imaging in prostate cancer with aggressive disease in selected patients.
In patients in whom salvage therapy decisions are pending, Ga-PSMA PET-CT can be performed at lower PSA level with a detection rate of 50 per cent. In >50 per cent, the information yielded was crucial for final diagnosis, showing findings that have not been visualised by CT scan. The lowest PSA value which had been associated with PSMA positive lesions has been reported to be of 0.2ng/ ml in series reported by Demirkol et al. Above the PSA threshold level of 2ng/ml, the lesion detection rate was reported as 100 per cent in their series. PSMA PET/ MRI fusion imaging has reported an increase in lesion detection rate due to combination of higher soft tissue resolution of MRI and sensitivity of functional PET imaging. PSMA expression correlates with cancer aggressiveness and represents as independent indicator of poor prognosis. The lesion detection rate of 86.7 per cent was reported for Glesaon score of < 7 and 96.8 per cent with Gleason score > 8 in a case study.
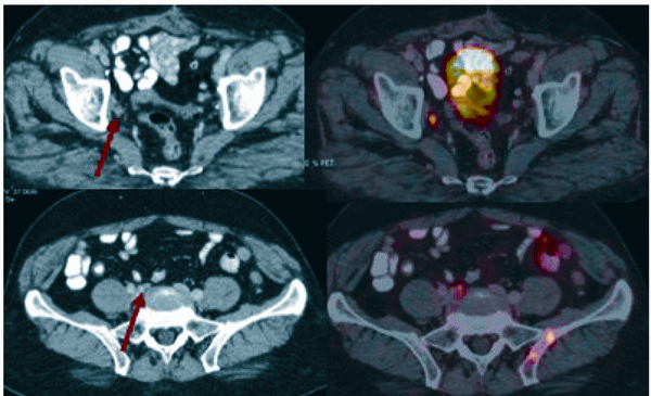
The measurement of PSA level alone is unhelpful in predicting the presence of lymph node metastases for an individual patient. CT and MRI show lower sensitivity (<40 per cent for 10 mm threshold) in PCa nodal staging as they indirectly assess nodal invasion by measuring lymph node diameter and microscopic invasions cannot be detected. PSMA-PET/ CT is invaluable in detecting sub-centimetre sized positive metastatic deposits which would have been reported as reactive, inflammatory or even be considered as non-existent on a conventional CT or MRI report as shown in Figure 5.

PSMA PET CT helps in differentiating post-operative changes from viable disease as illustrated in Figure 6. PSMA PET-MR fusion can be used for guiding biopsy. Besides metastatic evaluation, it is also useful for treatment response assessment.

After the introduction of 68Ga-PSMA-11 as a new PET tracer for prostate cancer, PSMA-617, a ligand with optimised tumour cell internalisation and lowered kidney uptake containing the more universal DOTA chelator, was developed for PSMA-targeted radio-ligand therapy. 177Lu PSMA- 617 is showing exciting treatment responses in men with metastatic castration-resistant prostate cancer (mCRPC) and almost certainly has an important future role in the treatment of prostate cancer. Preliminary publications suggest it has a low toxicity profile and appears generally well tolerated in men with end stage metastatic disease. Prospective randomised trials are needed to determine its impact on survival, and to rigorously assess its clinical benefit compared to other treatments of prostate cancer, including chemotherapy, external beam radiotherapy and androgen blockade.
In conclusion, PSMA PET/ CT seems to be a highly accurate imaging tool for restaging of PCa patients with biochemical recurrence. PSMA PET/ CT imaging may be used in order to develop a treatment strategy even in patients with low PSA levels. As a theranostic approach, its counterpart Lu-177 labelled ligands have a potential for the treatment of castration resistant PCa.


Comments are closed.